On Thursday I had surgery on my nasal passages and sinuses. My otorhinolaryngologist went in to undeviate my septum, to shrink the nasal lining on either side that when inflamed causes my chronic congestion and to venture into one of my sinuses to remove a polyp and/or other unwelcome growth. It seemed to go well and my recovery is going smoothly. In any case, it is an excuse for a blog post…

This is my brain on x-rays
In preparation for the surgery I had a CT Scan done. Out of the deal I got a CD with some 400 digital images revealing cross sections of the interior of my head. Pretty wild. See more below the fold.
The CT images are possible only because of knowledge about physics instrumentalized through sophisticated hardware and software and applied in the service of clinical intervention rooted in the best of our medical knowledge about the inner workings of my head. “CT” stands for computed tomography. The process relies on the differential passage of x-rays through parts of the body to reveal interior structures of varying density. This is the same idea as your classic x-ray imaging of a broken bone. However, the finer grade detection coupled with computational processing of the resultant data allows for the creation of CT images at specific cross-sections throughout the body. The word “tomography” derives from the Greek word for “slice” (tomos) and combined with “to write” (graphein). The slices produced by CT open a window into the structures of the body in their exact alignment – or misalignment, in the case of my septum.
A set of images reveal me in new light – literally. The result is fascinating – at least for the self who is used to being on the inside looking out. Here I am in profile:
Most of the people I have shown these images to share my interest, and some my fascination. Though it was curious to find that one fellow found the whole thing quite off-putting. He said it was “dehumanizing.” Incidentally, it was the same fellow who denies global warming and prides himself in a “simple” worldview of theologically endowed libertarianism. The embodied self revealed by these images is too squishy, too organic, too complicated, too contingent. I say bring it on. I find it totally humanizing, insofar as it reveals to us more texture of the human condition.
These images even reveal the material structures that allow for our own limited sense of vision. Our visual perception of the world is of course made possible by light-sensitive cells in our retinas which respond to particular wavelengths in a narrow band of the electromagnetic spectrum, the band we call visible light. Those retinal cells respond by sending bioelectrical nerve impulses that get bundled in the optic nerve extruding from the back of each eye ball. The point at which these meet is called the chiasm, after which visual data from the left field of vision of each eye ball gets directed along an optic tract to the right hemisphere and the right field to the left hemisphere for neural processing such that our embodied consciousness can make spatiotemporal sense of it. (Side note: the brain’s central “clock” is a bundle of neurons that sit above the optic chiasm known as the SCN: suprachiasmatic nucleus. Our diurnal rhythms are so light sensitive that their conductor get signals of light exposure even before those signals get to the part of the brain that processes visual perception.)
As I was flipping through slices of my head, I saw my eyes bulge out of my face. Then, on a series with a particular density sensitivity I was struck with recognition that I was looking at my own optic nerves. Whoa:

Our sense of vision evolved in an environment lit up by the electromagnetic spectrum emitted by the Sun, which happens to be dominated the band of spectrum we now call visible light. We don’t need x-ray vision to navigate the world we live in. Moreover, it would probably be maladaptive for us to perceive the other cosmic rays bombarding our retinas. But marshaling other parts of the electromagnetic spectrum for other applications has proven most useful, from wireless communications, to microwave ovens, to tanning salons. In the case of CT, we use electromagnetic waves with higher energy, greater frequency, and shorter wave length than those visible to us. These “x-rays” penetrate the depths of our bodies and, with the help of technology, produce images that can be perceived by our retinas. Such that I can have nerve impulses traveling through my optic nerves right now that signal to my brain visual perception of those very optic nerves. Amazing.
Slicing Up My Sinuses
Of course, my CT Scan was done not out of curious awe, but targeted intent to document my misshapen nasal passages with the hope of surgically correcting that situation.
The scan captured cross sections along three different axes. The bulk we lateral as represented by the lines here:
The images produced of these slices appear as if you were looking at my straight in the face and then I tilted by head back 90 deg. so that you were looking through my chin toward the top of my forehead. Hence the left side of the image is actually on my right and vice versa.
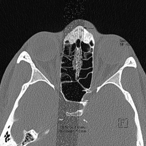
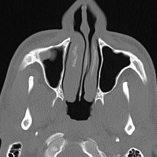
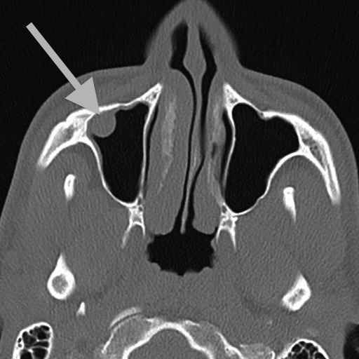
Another set of images captured vertical slices starting at the tip of my nose and proceeding back into my skull:

And finally a smaller set of images captured vertical slices of my nasal passages in profile:

The prime targets of all this imaging were my septum, which divides the nasal passages leading back from each nostril, and the turbinates, which are fleshy structures capable of expanding and contracting to divert the airflow around them. My doctor already knew the septum was deviated and that inflammation of the turbinates was the cause my chronic congestion. The CT scan confirmed that, specified how, and also revealed a third problem: disease of my right maxillary sinus.
All three issues are visible in the following high-contrast image:
Here is roughly the same slice at a different contrast in which bone and soft tissue are more distinguishable:

Let’s take the three issues separately…
The Septum
Seen laterally here, my septum used to deviate to the left (remember the sides are switched because it is as if you were looking up at the slice from below).
Seen here from the front, part of my septum hooked out in a way that likely inflamed the abutting turbinate:
My doctor corrected these deviations by conducting a septoplasty in which the septum was sliced up and reset. I currently have temporary plates on either side of my newly situated septum. They will be removed on Tuesday. The discomfort is far more tolerable than I expected.
The Turbinates
The deviated septum was a problem in part because of its interaction with the turbinates, which, when inflamed, block air flow, thereby restricting my breathing. As the CT images show clearly, my turbinates were quite asymmetrical with the right inferior turbinate being significantly larger than its counterpart.
Seen in the lateral slice above:
And a different slice from the front:
While my right inferior turbinate is the major target here, other slices show the middle turbinates:
I presume that both “turbinate” and the alternate name “nasal concha” refer to the coiled shape here, like a turbine or a conch shell.
Working together the turbinates channel airflow through three primary paths in each nasal passage: below the inferior turbinate, between the inferior and the middle turbinates, and above the middle turbinate.
The surgery included a turbinoplasty to shrink the turbinates, particularly that pesky right inferior one. Now this is wild, the method used for this procedure was radiofrequency ablation. Yet another band of the electromagnetic spectrum was used — here for material effect. Just as microwaves can be used to vibrate the bonds in water molecules in your food to heat the food up, particular radio waves emitted by probes can zap the tissue of the turbinates in a way that causes parts to crust over and, as they heal, shrink down. This should allow for less restricted airflow through my nasal passages.
The Sinus Polyp
Before the CT scan was conducted, we expected to see a deviated septum and funky turbinates. But an unknown was also revealed: unwelcome matter in my right maxillary sinus, the cavity behind my cheek bone. I still don’t know what this gunk was, but most likely a polyp or overgrowth of the mucous membrane.
Once this was revealed by the CT scans, my doctor added “antrostomy” to the list of interventions included in the surgery. While slicing and dicing in my nasal passages, he took a detour into my right maxillary sinus to dig out the gunk.
With those three interventions done, I am now in recovery mode. The plates come out tomorrow. And then I will have another couple weeks of gradual healing.
Hopefully the legacy of all this will be better breathing – particularly at night resulting in more restful sleep. In any case I have all of these images of the inside of my head.
I leave you with some of the more trippy among them…
Pac-Man
Some of the images from the front resemble space invaders, starting from the tip of my nose and then beaming up to the mother ship of my forehead with its crazy asymmetrical frontal sinuses.
Gestalt Bonus Round
See if you can pick out two sea horses (sea unicorns really) facing away from each other, Thomas Jefferson’s profile, a giant ant, and the demon that may or may not have been exorcised in the course of my surgery…


















Glad to hear that your surgery went well enough and that the matter removed from inside your head was immaterial to your to continued production these blog posts. The images were quiet revelatory, too. Perhaps you could get a set for Krugman’s head?
I appreciate how you managed to bring a human element to technical black and white x-ray images. It DOES tell us something about the human condition. I hope you breath easier now.
nice bone structure!
incredible, really. btw, what doesn’t intrigue you? this entry is way cool. thanx!
Ok you’re hilarious. The sea-unicorns cracked me up. Also, I just got a CT and was looking at my images last night (my follow-up is Tuesday) and hoping to see a polyp or something obvious as the source of my mild but never-ending discomfort. All I saw that seemed obvious was the inflamed right turbinate, just like yours! The ENT said I had a deviated septum but I have no idea what caused all the issues. It’s nice to find a detailed description of a situation similar to mine – not too excited about the prospect of surgery but maybe that would fix the problem, eh?
Hello I’m fascinated by this as I’ve recently been diagnosed with similar!